Epiretinal membrane (ERM) might sound like a complicated medical term, but understanding it can help you better manage your eye health. Here’s a detailed yet easy-to-understand guide to help you know more about this condition.
What is an Epiretinal Membrane?
An epiretinal membrane (ERM), also known as macular pucker, is a thin, transparent layer of fibrous tissue that forms on the surface of the retina, specifically over the macula. The macula is the part of the retina responsible for central vision, which we use for activities like reading and recognizing faces.
What Causes an Epiretinal Membrane?
The exact cause of ERM isn’t always clear, but it often develops due to:
Ageing: Most commonly found in people over the age of 50, ERM can occur as part of the natural ageing process.
Eye Conditions: Conditions like retinal tears or detachment, diabetic retinopathy, and uveitis (inflammation of the eye) can lead to ERM.
Eye Surgery or Trauma: Previous eye surgeries or injuries can sometimes cause the formation of an ERM.
Symptoms of an Epiretinal Membrane
Symptoms can vary from mild to severe, depending on the thickness of the membrane and its effect on the macula. Common symptoms include:
Blurred or Distorted Vision: Straight lines may appear wavy, or objects may seem distorted.
Difficulty Reading or Seeing Fine Details: Reading small print or seeing intricate details can become challenging.
Double Vision: Some people experience double vision or different size of image in the affected eye.
Diagnosing Epiretinal Membrane
If you experience any of the above symptoms, it’s essential to see an eye care professional. Diagnosis typically involves:
Dilated Eye Exam: An eye doctor will use special drops to dilate your pupils and examine your retina.
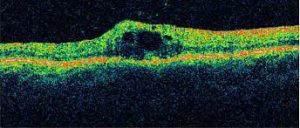
Optical Coherence Tomography (OCT): This imaging test provides a detailed cross-sectional view of the retina, helping to identify the presence and extent of the ERM.
Treatment Options for Epiretinal Membrane
Treatment depends on the severity of the symptoms and their impact on daily life. Options include:
Observation: If the symptoms are mild and not affecting your quality of life, your doctor may recommend regular monitoring.
Vitrectomy Surgery: In cases where vision is significantly impaired, a vitrectomy may be necessary. This surgical procedure involves removing the vitreous gel (a clear gel that fills the inside of the eye) and peeling off the epiretinal membrane to restore normal retinal structure and function.
When to See a Doctor
If you notice any changes in your vision, such as blurriness, distortion, or difficulty seeing fine details, make an appointment with an eye care professional. Early diagnosis and appropriate management can help preserve your vision and prevent further complications.
Epiretinal membrane can affect your vision and daily activities, but understanding the condition and knowing the available treatment options can make a significant difference. If you have concerns about your eye health, don’t hesitate to seek medical advice.
